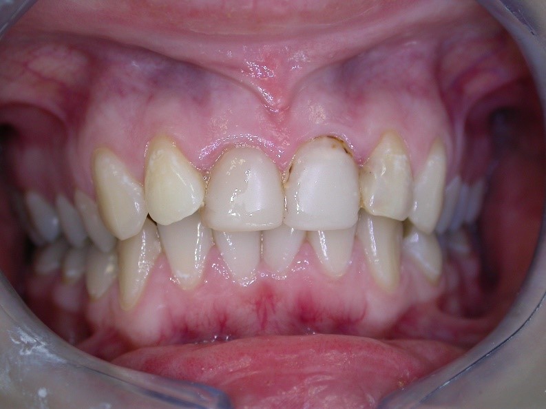
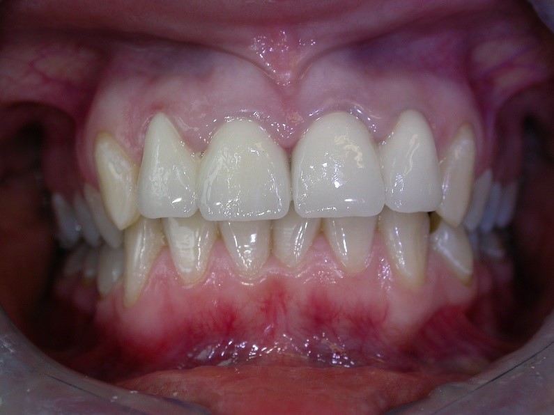
Korunky zhotovujeme u velkého poškození zubu nebo z estetických důvodů. Nejčastěji používáme celokeramické korunky a metalokeramické korunky. Ošetření probíhá ve dvou návštěvách, v první návštěvě je nutné zub nabrousit a udělat otisk, který posíláme do laboratoře. Z ordinace odcházíte s dočasnou korunkou, která brání pohybu sousedních zubů a mechanicky chrání připravený zub. Po 10ti dnech, tedy času, který potřebuje laboratoř, Vám po sejmutí provizoria, odevzdáme Vaše nové korunky.
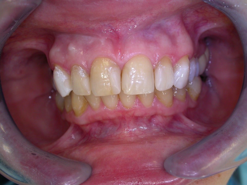
Keramické fazety jsou vhodným řešením pro estetickou úpravu přední části chrupu ať již z důvodu tvaru zubů, jejich poškození či trvalého nežádoucího zabarvení. Vyžadují menší preparaci vlastního zubu, jsou také zhotovovány v zubní laboratoři, a proto je potřeba dvou návštěv v ordinaci.
© 2022 MUDr. Ladislav Česnek - privátní stomatologická praxe